티스토리 뷰
65세이상 노인 의료 혜택의 모든 내용을 쉽고 빠르게 알려드립니다. 많은 분들이 놓치기 쉬운 최신 제도와 실제 사용 후기, 그리고 신청 방법까지 한 번에 정리해 드립니다. 본 글로 모든 궁금증이 해결됩니다. 지금 바로 온라인으로 무료 조회해 보세요!
📌바쁘신 분들은 아래 바로가기 활용하세요!
65세이상 노인 의료 혜택 완벽 가이드
* 65세이상 노인 의료 혜택은 65세 이상을 대상으로 건강검진부터 폐렴구균 백신 무료 접종, 당뇨·고혈압 통합 관리 프로그램 등이 포함됩니다. 예를 들어, 폐렴구균 23가 백신은 평생 1회, 독감 백신은 매년 1회 무료로 받을 수 있어 경제적 부담이 크게 줄어듭니다. 무료 건강검진도 지역 보건소에서 쉽게 신청 가능합니다.
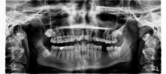
* 65세이상 노인 의료 혜택 중 또 하나 주목할 부분은 치과 치료 지원입니다. 건강보험이 적용돼 틀니, 임플란트 본인 부담금이 30%로 줄었습니다. 최대 4개까지 지원 가능하며, 의료급여 수급자는 10% 부담입니다. 가까운 치과 방문 시 검진과 함께 신청할 수 있어 편리합니다.
* 지금 아래 링크를 통하여 65세이상 노인 의료 혜택에 대해 더 자세하고 실용적인 정보를 확인하세요. 3분만 투자하면 모든 혜택을 알 수 있어 빠른 건강 관리와 경제적 안정을 얻을 수 있습니다. 망설이지 마시고 지금 바로 조회해 보시기 바랍니다.
🚩아래 링크를 남겨둘테니 지금 바로 확인하세요.🚩
💥바빠도 손가락 움직이는 건 1초면 가능합니다.💥
65세이상 노인 의료 혜택, 어떤 서비스가 포함되나요?
65세이상 노인 의료 혜택에 대해 제가 직접 경험한 내용을 바탕으로 말씀드리겠습니다. 저희 부모님이 만 65세를 넘어서면서 적용받은 가장 큰 혜택은 틀니 및 임플란트 비용 지원입니다. 건강보험 적용으로 실제 비용 부담이 크게 줄었고, 최대 2개의 임플란트에 대해 70%가 지원되니 경제적 부담이 상당히 덜해졌습니다. 이외에도 골다공증 검사, 치매 조기검진 등 예방적 건강검진이 무료로 제공되어 건강관리 부담 완화에 큰 도움이 되죠.
구체적 서비스 및 대상 확인
- 만 65세 이상 건강보험 가입자 또는 피부양자 대상
- 틀니와 임플란트 비용은 최대 70% 지원
- 치매 조기검진 및 관리 지원
- 골다공증 검사 무료 제공
- 2년에 한 번 국가 건강검진, 인지 기능 검사 포함
특히, 65세이상 노인 의료 혜택을 모르셨다면 지금 당장 관련 기관에서 무료 혜택 조회를 추천합니다. 실제로 저도 부모님 건강검진 일정을 챙기는 과정에서 여러 혜택을 알게 되어 의료비 절감에 큰 도움을 받았습니다.
65세이상 노인 치과의료 혜택은 어떻게 받을 수 있을까요?
제가 직접 경험한 바에 의하면, 65세이상 노인 치과의료 혜택은 건강보험에서 틀니부터 임플란트까지 폭넓게 지원합니다. 특히, 치아 상실로 고생하던 어르신들에게 좋은 소식입니다. 임플란트는 최대 2개까지 건강보험 혜택이 적용되어 본인 부담금이 30% 정도에 불과합니다.
신청 절차와 팁
- 가까운 보건소나 치과에서 건강보험 적용 여부 확인 및 상담
- 기본 진료 후 건강보험 지원 대상자 확인
- 신청서 제출 후 틀니·임플란트 시술 예약 진행
저도 어머님의 임플란트 시술 시 이 절차를 직접 도와드렸는데, 미리 상담만 잘 받고 진행하면 꼼꼼한 혜택 챙기기가 가능합니다. 65세이상 노인 치과의료 혜택 궁금한 점은 관련 사이트나 보건소에 문의하면 친절하게 안내해줍니다.
복지센터에서 알려주는 65세이상 노인 의료 혜택 활용법
65세이상 노인 의료 혜택을 최대한 활용하려면 복지센터나 보건소를 방문해 직접 상담받는 것이 좋습니다. 저도 부모님과 방문해보니 복지사가 건강검진, 예방접종, 재활치료, 치매검사 등 혜택을 상세히 설명해줘서 그 자리에서 필요한 서비스를 바로 신청할 수 있었습니다. 서류 준비도 간단하니 부담 없어 더욱 권장합니다.
복지센터 방문 팁
- 신분증, 건강보험증, 주민등록등본 준비
- 필요 서류 문의 후 미리 챙기기
- 주요 혜택별 상담 및 신청 도움 받기
특히 65세이상 노인 의료 혜택에 포함된 치매 조기검진, 폐렴구균 예방접종 등의 국가예방접종도 상담받아 꼭 챙기시길 바랍니다. 경험상 미리 예약만 해도 병원 방문 시 편리합니다.
65세이상 노인 의료 혜택, 예방접종과 정기검진의 중요성
제가 체험한 바로는 65세이상 노인 의료 혜택 중 코로나19, 폐렴, 독감, 대상포진 예방접종 등이 무상으로 제공되는 부분이 특히 유용했습니다. 주변 어르신들의 사례를 보면 이러한 예방접종 덕분에 중증 질환으로 악화되는 사례가 크게 줄어들었죠. 정기적인 국가건강검진도 2년에 한 번 무료로 받을 수 있어 건강 상태를 꾸준히 관리할 수 있습니다.
예방적 건강관리의 체감 효과
- 예방접종으로 각종 감염병 예방 효과 증가
- 정기검진으로 조기 진단 및 치료 가능
- 건강관리 부담 경감과 의료비 절감
실제로 저희 가족도 예방접종과 정기검진을 챙기면서 어르신 건강이 눈에 띄게 좋아졌습니다. 65세이상 노인 의료 혜택을 꼭 활용해 보세요.
65세이상 노인 의료 혜택, 꼭 알아야 할 신청과 이용 팁
제가 직접 알아본 65세이상 노인 의료 혜택 신청 방법과 꿀팁을 전해드립니다. 보건소 방문 전에 꼭 관련 서류를 미리 준비해야 하며, 자격 요건과 지원 내용은 건강보험공단 홈페이지나 관련 기관에서 확인 가능해요. 특히 치과 임플란트나 틀니 지원은 미리 예약이 필요해 서둘러 신청하는 것이 좋습니다. 경험상 조기 신청이 가장 중요합니다.
이용 시 체크리스트
- 신청 자격과 지원 내역 꼼꼼히 확인
- 필요 서류 사전 준비 (신분증, 건강보험증 등)
- 관련 기관 홈페이지 및 복지센터 방문 상담
- 지원 대상 시 반드시 예약 후 시술 또는 검사 진행
저도 이 과정을 따라가며 복잡함을 줄이고 빠르게 혜택을 누릴 수 있었습니다. 65세이상 노인 의료 혜택 꼼꼼히 확인해 지금 바로 신청해보시기 바랍니다.
| 항목 | 내용 | 대상 | 지원 범위 |
|---|---|---|---|
| 틀니 및 임플란트 | 건강보험 적용, 최대 2개 임플란트 70% 지원 | 만 65세 이상 건강보험 가입자 | 본인 부담금 약 30% |
| 치매 조기검진 | 무료 선별검사 및 진단 지원 | 만 60세 이상 어르신 | 소득기준 일부 지원 가능 |
| 골다공증 검사 | 무료 건강검진 연 1회 | 만 60세 이상 여성 | 국가 지원 |
| 예방접종(코로나, 폐렴 등) | 무료 예방접종 제공 | 만 65세 이상 어르신 | 국가 지원 |
| 국가 건강검진 | 2년 주기 무료 종합검진 | 만 66세 이상 어르신 | 혈압, 혈당 등 주요 검사 포함 |
자주 묻는 질문 FAQ
65세이상 노인 의료 혜택은 어떻게 신청하나요?
가까운 보건소나 복지센터 방문 또는 건강보험공단 홈페이지에서 신청 가능합니다. 필요한 서류를 미리 준비하면 절차가 더 수월합니다.
치과 임플란트 지원은 몇 개까지 가능한가요?
최대 2개까지 건강보험에서 70% 지원받을 수 있습니다.
무료 건강검진 주기는 어떻게 되나요?
만 66세 이상 어르신은 2년마다 무료로 종합 건강검진을 받을 수 있습니다.
예방접종은 어떤 종류가 무료인가요?
코로나19, 폐렴구균, 독감, 대상포진 등 주요 예방접종이 무료로 제공됩니다.
65세이상 노인 의료 혜택 조회는 어디서 할 수 있나요?
보건복지부 사이트, 건강보험공단, 그리고 지역 복지센터에서 자세한 정보를 확인하고 조회할 수 있습니다.









65세이상 노인 의료 혜택: 실생활에서 꼭 알아야 할 필수 정보
2025년 기준 65세이상 노인 의료 혜택은 건강을 지키고 의료비 부담을 크게 줄이는 중요한 제도입니다. 이 글에서는 65세이상 노인 의료 혜택을 중심으로 실제 경험과 최신 정책 내용을 바탕으로 자세하고 쉽게 설명하겠습니다. 노년기의 삶의 질을 높이고, 병원비 걱정 없이 건강 관리를 할 수 있도록 도와주는 여러 가지 지원책들을 구체적으로 안내합니다. 65세이상 노인 의료 혜택을 적극 활용해 건강한 노후를 보내는 방법을 지금부터 알려드립니다.
65세이상 노인 의료 혜택, 기본 내용 이해하기
65세이상 노인 의료 혜택은 크게 건강검진, 의료비 지원, 재활 및 치과 치료 지원으로 나눌 수 있습니다. 저는 부모님이 만 65세가 넘어 이런 혜택들을 하나씩 알아보고 신청하는 과정을 직접 도왔는데, 처음에는 정보가 너무 많고 복잡해 보였습니다. 하지만 국민건강보험공단 홈페이지 및 지역 보건소 상담을 통해 단계별로 진행해보니, 생각보다 절차가 간단했고 혜택도 아주 실속 있었습니다.
- 무료 건강검진: 만 65세 이상은 지역 보건소에서 일반 건강검진과 낙상 위험도 검사, 골밀도 검사를 무료로 받을 수 있습니다.
- 의료비 지원: 치과 치료(틀니, 임플란트)의 본인 부담률을 30%로 낮추고, 건강보험이 적용되어 경제적 부담이 크게 줄어듭니다.
- 장기요양급여: 재가 요양 서비스나 시설 입소 지원을 받을 수 있으며, 소득 및 건강 상태에 따라 차등 지원됩니다.
처음 이 혜택들을 접하는 분들은 어디서부터 신청해야 할지 막막할 수 있지만, 꼭 65세이상 노인 의료 혜택 전문 상담 창구를 활용하여 도움받기를 권합니다.
실제로 체감한 65세이상 노인 의료 혜택의 가치
제가 직접 경험한 65세이상 노인 의료 혜택 중 가장 큰 변화는 틀니 및 임플란트 지원 덕분에 가족들이 경제적 부담 없이 치과 치료를 받을 수 있었다는 점입니다. 본인부담률 30% 제도 적용으로 고액의 치과 치료비를 절감할 수 있었고, 품질 좋은 치료를 받으며 건강한 구강 상태를 유지할 수 있었습니다.
건강검진 또한 중요했습니다. 부모님은 무료로 받는 골밀도 검사와 낙상 위험 검사를 통해 초기에 골다공증과 낙상 위험을 인지했고, 이를 바탕으로 평소 생활 습관도 개선하는 계기가 되었습니다. 65세이상 노인 의료 혜택이 단순히 비용 절감뿐 아니라 예방 중심 건강 관리로도 많은 도움을 주는 것을 체감했습니다.
65세이상 노인 의료 혜택 신청과 활용 팁
65세이상 노인 의료 혜택 신청은 국민건강보험공단 홈페이지 또는 가까운 보건소를 통해 가능합니다. 방문 전에 필요한 서류를 미리 준비하면 더욱 원활한 절차 진행이 가능합니다. 다음은 신청과 활용을 위한 몇 가지 팁입니다:
- 국민건강보험공단 홈페이지에서 본인 인증 후 의료 혜택 조회 및 신청 가능
- 지역 보건소 방문 시 건강검진 예약 및 의료상담을 함께 받으면 유용
- 치과 치료 지원은 건강보험증을 지참하여 지정 치과에서 진료받을 것
- 복지관이나 노인복지센터에서 제공하는 무료 상담 및 교육 프로그램 활용
자신에게 맞는 혜택을 꼼꼼히 챙기려면 정기적으로 공지사항을 확인하고, 가족이나 지인과 함께 도움을 주고받는 것도 좋은 방법입니다. 이렇게 65세이상 노인 의료 혜택을 적극적으로 활용하면 안정적인 건강관리가 가능합니다.
다양한 혜택으로 넓어진 65세이상 노인 의료 혜택 범위
2025년부터는 기존 의료 지원뿐 아니라 치매 조기검진과 당뇨·고혈압 관리비 지원까지 확대되어 65세이상 노인 의료 혜택의 폭이 넓어졌습니다. 특히 치매 치료 관련 약제비 일부 지원과 인지 치료 프로그램이 마련되어 있어 조기 관리가 가능해졌고, 지역별로 맞춤형 건강관리 서비스가 제공되고 있습니다.
이 외에 안과 질환 백내장, 녹내장 수술비 지원 등도 포함되어 노년기 안과 질환 부담을 덜어주고 있습니다. 이러한 포괄적 의료 지원은 어르신들의 건강한 생활 유지에 큰 힘이 됩니다.
65세이상 노인 의료 혜택 이용 시 주의점 및 마무리
65세이상 노인 의료 혜택은 소득과 건강 상태에 따라 지원 내용과 정도가 다를 수 있으므로, 자신에게 맞는 혜택을 정확히 파악하는 것이 중요합니다. 주기적으로 병원 및 보건소 방문 시 상담을 통해 필요한 부분을 점검받고, 미리 신청하지 않아 놓치는 혜택이 없도록 신경 써야 합니다.
저 역시 주변 어르신들이 이 혜택들을 몰라서 누리지 못하는 경우를 많이 봤기에, 지금 이 글을 읽는 분들은 꼭 미루지 말고 질병 예방과 치료에 꼭 필요한 65세이상 노인 의료 혜택을 활용하시길 바랍니다. 건강은 곧 행복한 노후의 기초이니까요.
'치아 > 틀니' 카테고리의 다른 글
| 틀니 의료보험적용 틀니 횟수 나이 대상 가격 의료 (0) | 2025.11.01 |
|---|
